| کد مطلب: ۱۱۳۳۶۶۱
لینک کوتاه کپی شد
جدیدترین کشف نگران کننده‌ در ریه بسیاری از افراد غیرسیگاری!

جدیدترین کشف نگران کننده‌ در ریه بسیاری از افراد غیرسیگاری!

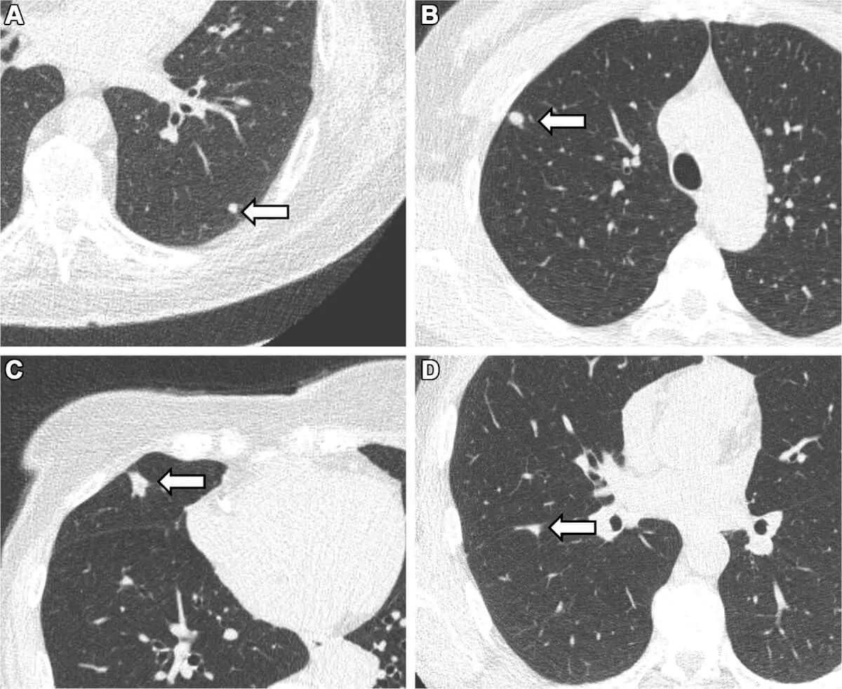
نتیجه یک مطالعه مشخص کرد که بیشتر از ۴۰ درصد از افراد غیر سیگاری دستکم یک گرهگ ریه دارند. حدود ۱۱ درصد دارای گره‌هایی به اندازه‌ای بزرگ بودند که ممکن است نیاز به ارزیابی یا پیگیری پزشکی بیشتری داشته باشند.

به گزارش آرمان ملی آنلاین، یک مطالعه نگران‌کننده جدید نشان می‌دهد که بسیاری از افراد غیر سیگاری شاهد رشد ساختارهای نگران کننده‌ای در ریه‌های خود بوده‌اند که سلامت آینده آنها را به خطر می‌اندازد. محققان هلندی کشف کرده‌اند که رشد ساختارهای کوچک در ریه‌ها که به نام گِرِهَگ ریه شناخته می‌شوند، حتی در بین افرادی که هرگز در زندگی خود سیگار نکشیده‌اند، به طرز شگفت‌آوری رایج است.

براساس این گزارش، این مطالعه که در مجله Radiology منتشر شده است، مفروضات قبلی در مورد شیوع این گره‌ها در افراد به ظاهر سالم را به چالش می‌کشد و می‌تواند پیامدهای مهمی برای نحوه برخورد پزشکان با سلامت ریه در جوامع عمومی داشته باشد.

این مطالعه نشان داد که بیش از ۴۰ درصد از افراد غیر سیگاری دستکم یک گرهگ ریه دارند. حدود ۱۱ درصد دارای گره‌هایی به اندازه‌ای بزرگ بودند که ممکن است نیاز به ارزیابی یا پیگیری پزشکی بیشتری داشته باشند.

به نقل از اس‌اف، گرهک‌های ریه ساختارهای کوچک و گردی در بافت ریه هستند. در حالی که بیشتر آنها خوش خیم هستند، برخی می‌توانند نشانه‌های اولیه سرطان ریه باشند. به طور سنتی، این گرهک‌ها با سیگار کشیدن مرتبط بوده‌اند و بیشتر درک ما از شیوع آن‌ها از مطالعات افراد به شدت سیگاری‌ یا افرادی که در معرض خطر بالای سرطان ریه هستند، ناشی می‌شود.

این تحقیق جدید تصویر متفاوتی را ترسیم می‌کند. این نشان می‌دهد که گرهگ‌های ریه در جمعیت عمومی بسیار شایع‌تر از آنچه قبلا تصور می‌شد، حتی در میان افرادی که هرگز در زندگی خود سیگار نکشیده‌اند، دیده می‌شود.

در این مطالعه بیش از ۱۰ هزار شرکت‌کننده از شمال هلند حضور داشتند که همگی یا قبلا سیگاری بودند یا هرگز سیگار نکشیده بودند. با استفاده از سی تی اسکن محققان توانستند گرهک‌های ریه را به قطر ۳.۹ میلی‌متر تشخیص دهند.

یکی از شگفت‌انگیزترین یافته‌ها این بود که شیوع گرهک‌های ریه با افزایش سن در مردان و زنان افزایش می‌یابد. در گروه سنی ۴۵ تا ۴۹ سال، حدود ۳۹ درصد از مردان و ۲۸ درصد از زنان حداقل یک گرهک داشتند. زمانی که افراد به ۸۰ سال و بالاتر رسیدند، این درصدها برای مردان به ۶۱ درصد و برای زنان ۵۱ درصد افزایش یافت.

این مطالعه همچنین نشان داد که مردان بیشتر از زنان در تمام گروه‌های سنی به گرهک‌های ریه مبتلا می‌شوند. با این حال، زمانی که زنان گرهک داشتند، به طور متوسط ‌اندازه آن کمی بزرگتر بودند.

این یافته‌ها سؤالات مهمی را در مورد نحوه برخورد ما با سلامت ریه و غربالگری سرطان مطرح می‌کند. در حال حاضر، برنامه‌های غربالگری سرطان ریه معمولا بر روی افراد مسن‌تر با سابقه مصرف زیاد سیگار تمرکز می‌کنند. اما اگر گرهگ‌های ریه در افراد غیرسیگاری رایج باشد، چه باید کرد؟

توجه به این نکته مهم است که وجود گرهک ریه لزوما به معنای سرطان نیست. در واقع، اکثریت قریب به اتفاق گرهک‌ها، به خصوص موردهای کوچک، خوش خیم هستند. آنها می‌توانند ناشی از عفونت‌های قدیمی، بافت زخم یا به سادگی یک تغییر طبیعی در ساختار ریه باشند. ‌

با این حال، شیوع بالای آنها، به ویژه گروهی که به اندازه کافی بزرگ هستند که از نظر بالینی حساس در نظر گرفته شوند، نشان می‌دهد که رویکرد فعلی ما به سلامت ریه ممکن است نیاز به بازنگری داشته باشد.

منبع : ايسنا

جدید

ارسال نظر

هشتگ‌های داغ

آخرین اخبار

پربازدیدترین اخبار